近日,新疆医科大学第一附属医院肾脏疾病中心陆晨教授团队诊断了全疆首例胶原III肾小球病,该病例的发现对提高新疆肾脏病专科罕见病的诊疗水平具有重要意义。
4月19日,在北京举办的第十三届国际肾脏病理研讨会暨第十八届全国肾脏病理研讨会上,该病例入选并在大会进行口头汇报。该病历的诊断和大会汇报得到中日友好医院援疆专家邹古明的倾力指导,这也是中组部“组团式援疆”结出的硕果之一。


上图为大会口头汇报现场图
胶原Ⅲ肾小球病
胶原Ⅲ肾小球病,是一种由于Ⅲ型胶原纤维在肾小球异常沉积而致病的肾小球疾病,于1979年由日本学者Arakawa等首次报道。1995年被世界卫生组织正式收录进肾小球疾病的分类中。目前全球见诸文献报道的病例累计约100例,其中我国约30例,现今仍属于一种临床罕见疾病。
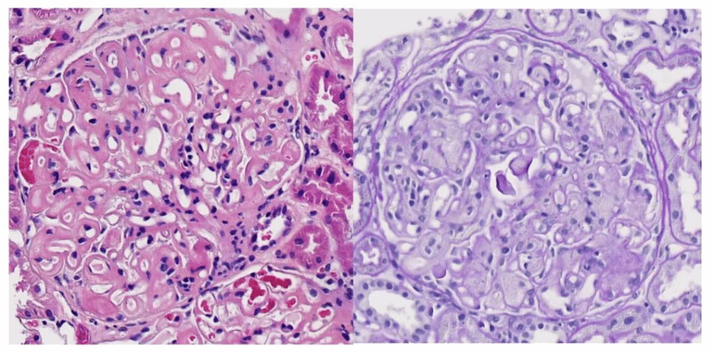
2023年12月8日,新医大一附院肾脏疾病中心收治了一例特殊的患者,该患者临床表现为肾脏受累,符合常见的慢性肾炎综合征,但肾穿刺活检病理诊断不寻常,经电镜检查发现肾小球系膜区和基底膜有大量带横纹的束状胶原纤维,直径在40~70 nm。为了明确诊断,进一步通过全外显子检查除外法布雷病,加做免疫组织化学染色表现为Ⅲ型胶原纤维阳性。
该患者为全疆首例胶原III肾小球病。虽然该病目前缺乏特异性的治疗手段,常用的支持疗法包括控制血压、利尿消肿、减慢肾功能减退等均非治本的方法,但及时的确诊,避免了误诊治疗给患者带来不必要的损伤,有助于推动对该疾病的认知以及其治疗的探索。

左图:HE 右图PAS

左图为电镜结果,右图为免疫组化结果
近年来,新疆医科大学第一附属医院肾脏疾病中心在陆晨教授的带领下,持续发挥自身优势,积极开展罕见病的诊治,推动新疆对罕见病的诊治水平,为全疆人民的肾脏健康保驾护航。